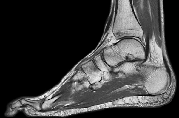
Es el estudio de estructuras anatómicas compuestas por huesos, musculatura, tendones, cartílago etc.

En exploraciones de miembros inferiores, el paciente es colocado en la camilla boca arriba y entran primero los pies, de tal manera que la cabeza queda fuera del gantry, minimizando así la sensación de claustrofobia. Las exploraciones osteoarticulares suelen durar unos 15-20 minutos.

No se necesita ningún tipo de preparación previa, como generalmente no se administra contraste, tampoco es necesario que venga en ayunas.

Ejemplos