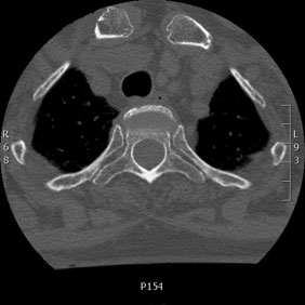
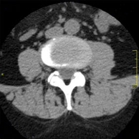
Tomografía computarizada Columna
< Volver a "Tomografía Computarizada (TC) con Inteligencia artificial"Con esta prueba valoraremos la patología de las vertebras, fracturas, hernias, protusiones discales,…
No requiere de ninguna preparación previa, y el tiempo de exploración no suele sobrepasar los 10 minutos.