Estudio de Cordales
< Volver a "Diagnóstico por Imagen Dental"CBCT para estudio de cordales
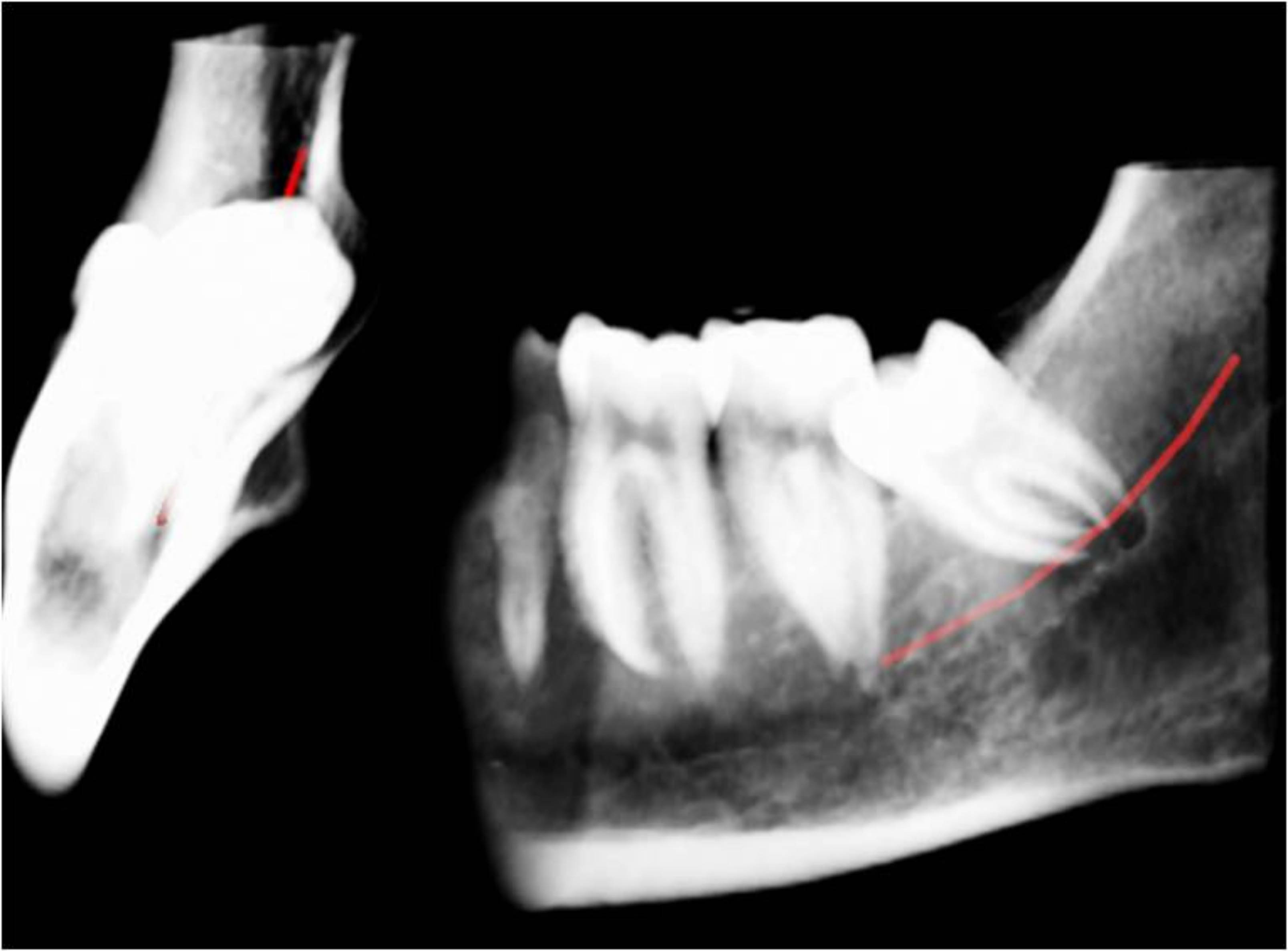
La correcta y clara identificación anatómica de las distintas estructuras comprendidas en la mandíbula son esenciales a la hora de programar una exodóncia de cordales.
De la proximidad de éstos con respecto al conducto dentario dependerá el éxito de la intervención. Nuestros estudios aportan la información en los tres planos radiológicos y herramientas para evitar posibles complicaciones, además de permititr obtener una visión real de todas las estructuras comprometidas en dicha intervención.
El examen radiológico siempre debería de preceder a la exodoncia simple o quirúrgica de un tercer molar cuando las estructuras circundantes pueden verse comprometidas.