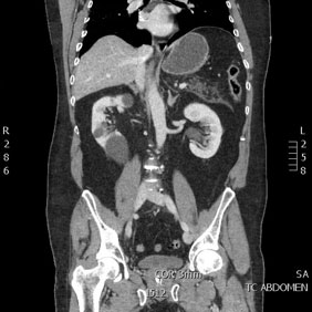
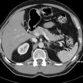
Tomografía computarizada Abdomen
< Volver a "Tomografía Computarizada (TC) con Inteligencia artificial"Se utiliza para el estudio de los diferentes órganos de abdomen y pelvis (hígado, riñones, intestino, próstata, ovarios…).
Para su correcta preparación, se necesita un ayuno previo de 6 horas (3 en pacientes diabéticos), no siendo necesaria la suspensión de ningún tratamiento y pudiendo beber agua durante las 6 horas de ayuno.
Unos 40 minutos antes de la prueba, se le pedirá que beba agua, o le facilitaremos un contraste oral (compuesto de bario o yodo). El tipo de contraste oral dependerá de la patología que queramos estudiar.
Una vez preparado y dentro de la máquina, el tiempo de exploración no suele sobrepasar los 15 minutos.
Si no hay ninguna contraindicación, es muy probable que le inyectemos por vena un contraste yodado, que nos aportará una mejor caracterización de los órganos y visualización de las diferentes patologías.